Rat Kupffer Cells: RKC 大鼠柯弗氏細胞:RKC
產品型號: R784K-10n
Kupffer cells are specialized macrophages lining the walls of the sinusoids in the liver. These macrophages are critical component of the mononuclear phagocytic system and associated with a variety of disease states including drug-induced liver injury, nonalcoholic fatty liver diseases (NASH) and hepatic fibrosis.
Rat Kupffer cells from Cell Applications, Inc. provide an excellent model system to study many aspects of human liver function, metabolism and pathophysiology. Primary culture of Rat Kupffer cells is suitable for cell-based assays including toxicity, drug screening and disease modeling, and is a valuable tool to study liver physiology and associated diseases.
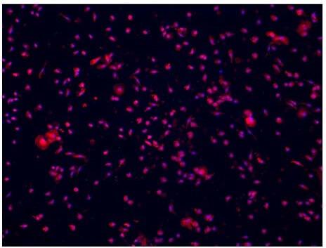
Characterization: Positive for F4/80 by ICC staining.
DETAILS
| Tissue | Normal healthy rat liver tissue |
| QC | No bacteria, yeast, fungi, mycoplasma, virus |
| Bioassay | Attach, spread in culture Medium |
| Cryovial | 1,000,000 RKC frozen in Macrophage Freezing Medium |
| Kit | Cryovial frozen RKC (R784-10n), Culture Medium (R7119-500) |
| Proliferating | Shipped in flasks or plates in medium |
| Doublings | Cells do not divide, and cannot be passaged |
| Applications | Laboratory research use only (RUO). Not for human, clinical, diagnostic or veterinary use. |
PRODUCTS
| PRODUCT | SIZE | CAT.# |
| Cryopreserved RKC Total Kit, Neonatal: 1x10^6 Cells (neonatal), Culture Medium, Coating and Thawing Solution (See Details tab for specifics) | 1 Kit | R784K-10n |
| Cryopreserved RKC, neonatal: Frozen RKC (1x10^6) | 1 Cryovial | R784-10n |
RELATED PRODUCTS
| PRODUCT | SIZE | CAT.# |
| Rat Kupffer Cell Culture Medium: All-in-one ready-to-use | 100 ml | R7119-500 |
| Rat Kupffer Cell Culture Medium Kit: Basal medium & culture supplement sold together packaged separately | Yields 100 ml | R7119K-100 |
| Rat Kupffer Cells Culture Medium Supplement: Added to Basal Medium to create Culture Medium | 50 ml | R7119-GS |
| Rat Kupffer Cells Basal Medium: Basal medium (contains no culture supplement). Add CS before use. | 100 ml | R7118-100 |
EXTENDED FAMILY PRODUCTS
| PRODUCT | SIZE | CAT.# |
| Cyto-X Cell Counting Reagent: 500 tests | 1 Bottle | 028-01 |
| Cyto-X Cell Counting Reagent Sample: 100 tests | Sample | 028-S |
Inline content
