Subcutaneous Preadipocytes and Adipocytes 皮下前脂肪細胞及脂肪細胞
產品型號: S-PF-SERIES
ZenBio provides the highest quality primary human cultured preadipocytes and adipocytes. Our cells have multiple applications in basic research, drug screening and development.
ZenBio provides the highest quality primary human cultured preadipocytes and adipocytes. Our cells have multiple applications in basic research, drug screening and development.
Cells are isolated from a wide variety of patients with good representation from all levels of adiposity and age. Cells are available from both male and female donors. Pooled lots of cells are available from both male and female donors to provide large lots for screening and to decrease issues with patient to patient variability.
Preadipocytes are provided cryopreserved or in culture. Adipocytes are differentiated in vitro from preadipocytes using our patent protected differentiation methods. Cells are available in a variety of plate formats.
All cells have passed our rigorous quality control measures including performance in lipid accumulation, lipolysis, and adipokine secretion. Cells have tested negative for HIV-1, HIV-2, HTLV-1, HTLV-2, Hepatitis B, Hepatitis C and mycoplasma.

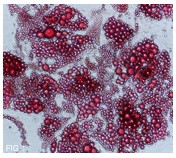
Subcutaneous adipocytes at two weeks post differentiation. Stained with the neutral lipid dye Oil Red O.

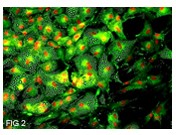
S2 adipocyte C8F10Composite. Human preadipocytes (ASC-F-SL) are differntiated in ZenBio Adipocyte Differntiation Medium (DM-2) for 14 days. Mitochondrial content is monitored using Mito Tracker stain (green). Cells are identified with Hoescht nuclear stain (red) and mature lipid droplets are detected (white).
| Item# | Item Desc | U/M |
| SP-F-1 | Cryopreserved, Subcutaneous Preadipocytes (2 million cells/vial) BMI<24.99 | Vial |
| SP-F-2 | Cryopreserved, Subcutaneous Preadipocytes (2 million cells/vial) BMI 25.0-29.99 | Vial |
| SP-F-3 | Cryopreserved, Subcutaneous Preadipocytes (2 million cells/vial) BMI >30.0 | Vial |
| SP-F-SL | Cryopreserved, Subcutaneous Preadipocytes, POOLED Lot (2 million cells/vial) BMI 25.0-29.99 | Vial |
| SPD-F-1 | Cryopreserved, Subcutaneous Preadipocytes, DIABETIC (1 million cells/vial) BMI<24.99 | Vial |
| SPD-F-2 | Cryopreserved, Subcutaneous Preadipocytes, DIABETIC (1 million cells/vial) BMI 25.0-29.99 | Vial |
| SPD-F-3 | Cryopreserved, Subcutaneous Preadipocytes, DIABETIC (1 million cells/vial) BMI >30.0 | Vial |
| BR-F | Cryopreserved, Subcutaneous BREAST Preadipocytes (1 million cells/vial) | Vial |
| SQE-F | Cryopreserved, Subcutaneous Facial Preadipocytes (1 million cells/vial) | Vial |
| MSND-F | Preadipocytes isolated from Mesenteric Adipose Tissue. DIABETIC Donor,1 million cells per vial | Vial |
